Els pulmons tenen una particularitat que comparteixen amb pocs òrgans: estan en contacte amb l’ambient exterior.
Cada vegada que respirem, junt amb l’aire fem entrar als pulmons, partícules de pols, microorganismes i contaminants de mil tipus diferents. En conseqüència, els pulmons tenen molts sistemes de defensa, des dels mocs que retenen enganxada bona part de la porqueria, fins a cèl·lules especialitzades del sistema immunitari encarregades d’anar netejant la superfície dels alvèols.
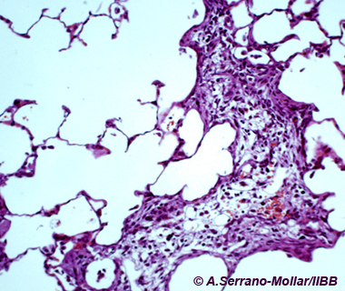
Però de vegades, les defenses no són suficients i es causen danys a la paret alveolar. Els pneumòcits tipus I moren i cal trobar la manera de refer l’arquitectura normal per seguir funcionant. Aleshores els pneumòcits tipus II comencen a proliferar i a transformar-se en tipus I fins a restablir l’estructura normal.
El problema és que a vegades, no moren únicament els pneumòcits tipus I. Pot ser que la lesió afecti també als tipus II, i aleshores el pulmó es queda sense sistema per refer el funcionament normal. La situació és similar a la que passa si ens fem un tall massa profund a la pell. Les cèl·lules que refarien la pell també moren i no hi ha més remei que posar en marxa els fibroblasts. Aquests tapen la ferida i eviten que el dany s’estengui, però al preu de perdre la funcionalitat.
Doncs a vegades això passa als pulmons. Moren tant els pneumòcits tipus I com els II i el teixit es repara fent servir els fibroblasts. Aquesta reparació evita que quedin ferides obertes per on podrien entrar microbis, però això ens deixa amb un problema molt greu. Allà on hi ha fibroblasts, la paret és tan gruixuda que no permet el pas dels gasos. A més, és tan resistent que no permet que el pulmó es dilati i contragui per respirar correctament.
Si la zona lesionada és molt petita no passa gaire res. Un dany limitat que no té gaire importància. Però a vegades, i sense que en sabem el motiu, els fibroblasts no paren de créixer i ocupar espai pulmonar. Progressivament, la capacitat dels pulmons per enviar oxigen a la sang es va fent més i més petita. La capacitat dels pulmons per omplir-se d’aire es redueix progressivament i al final ja no n’hi ha prou per mantenir la maquinària metabòlica funcionant.
Com que el que passa és que el teixit pulmonar normal es va substituint pel teixit fabricat pels fibroblasts, la malaltia s’anomena fibrosi pulmonar. I com que ignorem quin és el motiu que ho causa, es parla de “fibrosi pulmonar idiopàtica”. Idiopàtic és una paraula que es fa servir en medicina per dir “no tinc ni idea del que ho ha provocat”.
Un apunt final. Moltes vegades es confonen, per això aclarim ara que la fibrosi pulmonar idiopàtica NO és el mateix que la fibrosi quística. En els dos casos hi ha fibrosi, però la resta és molt diferent. Nosaltres ens centrarem en la Fibrosi Pulmonar Idiopàtica, que abreviem FPI.

















Podrieu explicar la relació entre la fibrosi quística i el transport de la membrana plasmàtica?
Primer que res deixan’s insistir en el que deiem al final de l’apunt. La fibrosi quística no té res a veure amb la fibrosi pulmonar. Són dues malalties diferents. La fibrosi quística és una malaltia genètica causada per la mutació del gen de CFTR. La proteina que fa aquest gen regula el pas d’ions de clor a través de la membrana de les cèl·lules. Si no funciona, bona part de l’equilibri iònic queda alterat en molts tipus cel·lulars diferents.